GALLERY DEI CASI CLINICI DELLO STUDIO BAGALÀ
E’ possibile raddrizzare i denti in modo naturale? Certamente! Bisogna pensarci per tempo perché questo è l’unico modo per personalizzare le cure ortodontiche. Difficilmente 2 casi sono identici e quindi standardizzare (cioè fare per tutti la stessa cosa), è un errore. E’ sbagliato trattare ad una stessa età tutti. Come è sbagliato usare una o due tecniche al massimo. Ogni dispositivo ortodontico scelto è la sintesi tra massima efficacia, età corretta e collaborazione e abitudini e desideri del paziente. Le mamme quindi hanno la responsabilità di fare la scelta migliore e non è più solo una questione economica. Bisogna mettersi nella condizione di non affidarsi alle persone sbagliate. Perché l’ortodonzia va fatta dallo Specialista e non come raccontano taluni pazienti, dalle assistenti.
Ecco alcuni casi descritti con materiale fotografico
Il caso di Sofia (Terza Classe)
IL CASO DI SOFIA (TERZA CLASSE) Sofia era una terza classe in età pediatrica con notevole sviluppo del terzo inferiore del viso. Intercettata a 8 anni e mezzo mostra un notevole miglioramento del viso di profilo e della dentatura. Andrà poi seguita per il successivo...
Il caso di Riccardo (Morso Profondo)
IL CASO DI RICCARDO (MORSO PROFONDO) Riccardo è un caso di seconda Classe morso profondo, che ha ottenuto un ottimo risultato nel periodo di massima crescita puberale, raggiungendo un’occlusione e un’estetica perfetta e migliorando l’estetica del viso.PrimaDopo
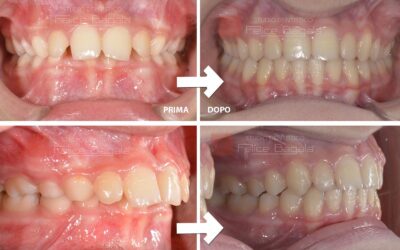
Il caso di Giorgio (Ortodonzia III Classe grave)
IL CASO DI GIORGIO (ORTODONZIA III CLASSE GRAVE) Giorgio era una grave IIIa classe da "difetto di crescita scheletrica mascellare". Cioè lo scheletro del terzo "medio" del viso poco sviluppato. Apparentemente un mento in avanti nelle foto del viso prima della cura. In...
Il caso di Carlotta (Ortodonzia Intercettiva)
IL CASO DI CARLOTTA (ORTODONZIA INTERCETTIVA) Carlotta è un caso di IIa classe da insufficiente crescita scheletrica del terzo inferiore del viso (mandibola e mento indietro). Apparentemente ad una osservazione delle foto della bocca ad inizio cura, sembrerebbe un...
Il caso di Gabriele (Ortodonzia classica)
IL CASO DI GABRIELE (ORTODONZIA CLASSICA) Gabriele è un giovane adolescente giunto nel mio studio dopo 5 anni di trattamenti in 2 studi diversi di colleghi senza alcun risultato. Risolto in circa 22 mesi di ortodonzia classica, sfoggia un sorriso eccellente,...
Il caso di Alberto (Ortodonzia fissa II classe)
IL CASO DI ALBERTO (ORTODONZIA FISSA II CLASSE) Caso di ortodonzia fissa classica di un paziente adolescente in seconda classe con morso profondo. Quindi sopravanzo della parte superiore che è più sporgente, mento labbro inferiore arretrato e contemporaneamente un...
Il caso di Daniele (Morso crociato)
IL CASO DI DANIELE (MORSO CROCIATO) Daniele 8 anni Morso crociato destro con deviazione mandibolare e linee mediane dallo stesso lato (vedi frecce nere). Dopo allargamento della parte superiore (mascellare e palato) la mandibola si porta al centro (vedi frecce nere)...
Il caso di Giorgia (Ortodonzia II classe)
IL CASO DI GIORGIA (ORTODONZIA II CLASSE) con Paziente di 11 anni con grave IIa classe , carie multiple e affollamento dentario. Tempo di cura 20 mesi con apparecchiature mobili e fisse. Risoluzione completa. PrimaDopo
Il caso di Natalia (Ortodonzia fissa)
IL CASO DI NATALIA (ORTODONZIA FISSA) Caso di donna adulta con "morso aperto". A denti chiusi quelli frontali non si contattano. E' presente un certo grado di affollamento nelle zone anteriori incisive. La cura è stata eseguita con un dispositivo fisso non visibile ...
Il caso di Carlotta (Ortodonzia III classe)
IL CASO DI CARLOTTA (ORTODONZIA III CLASSE) Caso di IIIa classe di una adolescente, risolta con ortodonzia linguale "invisibile" in 10 mesi di terapia. L'apparecchio in questo caso era quindi fisso e posizionato sulla superficie interna dei denti. Ottima...
Il caso di Michela (Ortodonzia classica)
IL CASO DI MICHELA (ORTODONZIA CLASSICA) Caso di adolescente trattata con ortodonzia fissa classica >con un tempo di cura di 16 mesi circa. Mancante per estrazione, da parte di un collega, il primo molare superiore a destra. Nelle foto di fine cura si vede lo spazio...
Il caso di Federica (Ortodonzia intercettiva)
IL CASO DI FEDERICA (ORTODONZIA INTERCETTIVA) Federica è il classico caso di Ortodonzia intercettiva. Morso aperto iniziale da interposizione linguale e palato stretto. A fine cura il morso anteriore si chiude con normale accavallamento dei denti incisivi e corretto...
Il caso di Riccardo (Morso crociato)
IL CASO DI RICCARDO (MORSO CROCIATO) Caso di morso crociato (incrocio di masticazione) a destra. Bimbo di circa 4 anni. Come si nota dopo allargamento "scheletrico" delle ossa mascellari ( palato), la mandibola inizialmente deviata ( freccia nera) , torna al centro....
Il caso di Caterina (Ortodonzia Linguale Invisibile con estrazione)
IL CASO DI CATERINA (ORTODONZIA LINGUALE INVISIBILE CON ESTRAZIONE) Caso di ortodonzia linguale invisibile di una paziente adulta con estrazione dei primi premolari superiori. Tempo di cura 16 mesi con un ottimo risultato visibile dal sorriso. Questo è un esempio del...
Il caso di Alessandra (Ortodonzia mobile IIa Classe)
IL CASO DI ALESSANDRA (ORTODONZIA MOBILE IIA CLASSE) IIa classe da Iposviluppo dello scheletro inferiore o mandibolare trattata, in fase di crescita con apparecchio rimovibile. Apparentemente una sporgenza dei denti incisivi superiori, in realtà un arretramento...
Il caso di Michela (Ortodonzia II Classe)
IL CASO DI MICHELA (ORTODONZIA II CLASSE) Caso di II classe, trattata con apparecchio mobile, con crescita in deficit dello scheletro mandibolare (parte inferiore). Ha una apparente "sporgenza superiore" con denti in fuori: In realtà è un mento indietro. Basta...











