ORTODONZIA LINGUALE

Siamo in grado oggi di coniugare l’estetica con l’alta predicibilità di un trattamento fisso. Il principale ostacolo nell’affrontare un trattamento ortodontico  da adulti è infatti, come detto, la visibilità.

L’ortodonzia linguale è una tipologia di ortodonzia fissa nata per motivazioni estetiche. Non per nulla il primo sviluppatore è stato un collega di Hollywood. I primi apparecchi linguali sono comparsi al finire degli anni 80. E fortunatamente Il mio istruttore a Cagliari li ha subito importati ed introdotti in Italia.

In ortodonzia Linguale i bracket (attacchi) sono costruiti individualmente per ogni paziente e sono applicati sulla superficie linguale o palatina dei denti, quindi invisibili anche sorridendo.

Addirittura meno visibili di un allieatore trasparente o mascherina (altro tipo di ortodonzia estetica). Hanno  anche loro un controllo 3D, e cioè sono eccellenti nel posizionamento ed allineamento dei denti. L’ortodonzia linguale è sicuramente il tipo di ortodonzia più sofisticato e impegnativo per chi la pratica, ma è anche quella che può dare eccellenti risultati e notevoli soddisfazioni perché coniuga estetica perfetta ed invisibilità con una alta predicibilità di risultato finale.

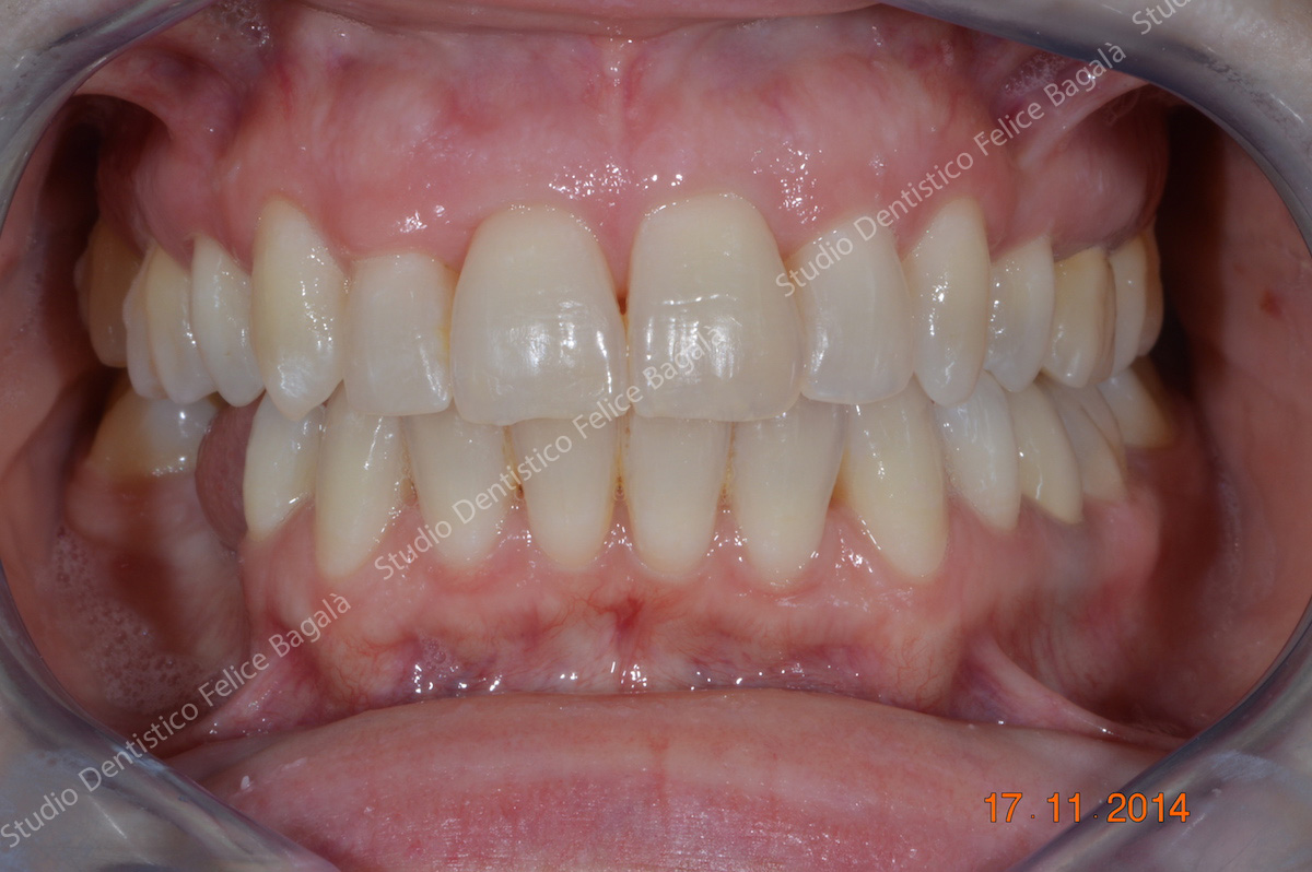
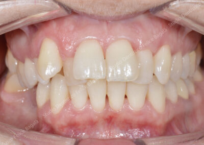
Caso di ortodonzia linguale concluso in 20 mesi con estrazioni di 2 premolari superiori. Non resta traccia dei denti mancanti e il sorriso della paziente dice il resto.
 

Prima

Dopo