ORTODONZIA INTERCETTIVA

E’ quella parte di ortodonzia che si occupa di correggere ed “intercettare” una occlusione sbagliata (ingranaggio non corretto dei denti), in età pediatrica o adolescenziale.

E’ il migliore investimento che un genitore possa fare perché una gran parte di alterazioni di crescita del viso e bocca del bambino sono correggibili solo in quell’età. Non trattarle per tempo porta ad una complicazione, con necessità di cure ortodontiche più lunghe e costose in età successive o addirittura impedisce la soluzione indirizzando talvolta il paziente verso la chirurgia ortognatica o maxillo facciale. Fortunatamente oggi si sente sempre meno colleghi indicare una età precisa per intraprendere le cure ortodontiche. Dire o credere che è necessario avere cambiato tutti i denti per mettere un “apparecchio” è sbagliato. Come detto può avere serie conseguenze da adulto e nella migliore ipotesi portare al sacrificio di denti sani. E’ importante portare il bimbo/a per un controllo dallo specialista in Ortodonzia appena possibile, solo per un controllo. Evitando nella nuvola di tanti dentisti, quelli generali e i vari collaboratori, che quando anche preparati non avrebbero la giusta continuità per controllare la crescita del piccolo/a. Nessuno porterebbe il figlio in una scuola dove i  maestri/e cambiano 3 volte l’anno. La salute della bocca di un bambino esige continuità.

ORTODOZIA MOBILE IN ETA’ PRECOCE

È tipica dell’età scolare e prepuberale, ed ha una indicazione specifica nello stimolo “ortopedico” di crescita delle ossa mascellari fintanto che ce’ crescita. Ne fanno parte tutta una serie di apparecchi “funzionali” detti attivatori che modificando l’attività posturale dei muscoli, influiscono sulla crescita delle ossa facciali del terzo medio e inferiore del viso. Da qui l’assoluta importanza di intervenire, quando indicato, entro e non oltre la pubertà. Si tratta di apparecchi individualizzati con parti in resina e ne fanno parte anche gli educatori funzionali in materiale morbido atossico recentemente introdotti. Tutti sono rimovibili e vanno utilizzati su specifica indicazione dello Specialista in Ortodonzia.

La cura delle “abitudini viziate” è parte fondamentale della Ortodonzia intercettiva. In pratica accertata una alterazione di crescita e la sua causa, la si corregge precocemente e la si risolve totalmente o parzialmente  L’intervento precoce è quindi determinante nella intercettazione di abitudini e masticazioni sbagliate. Una volta ottenuto il risultato, il piccolo paziente viene lasciato libero di proseguire la sua crescita lungo “una linea retta”.  Alla domanda quale è l’età migliore per intraprendere una cura Ortodontica, rispondo dipende. Sicuramente visitare i bambini anche in età di 3/4 anni consente di fare una diagnosi precoce per poi decidere di iniziare o meno dopo mesi o anni. La visita precoce introduce comunque il bimbo/a al nostro ambiente “di gioco” e gli consente di familiarizzare giocando con tutto lo staff.

Abitudini viziate

Con questo termine si indicano le alterazioni di funzionamento di alcuni distretti oro naso faringei.

Ne fanno parte la respirazione orale da cause ostruttive e abitudinarie. La deglutizione infantile o atipica con il succhiamento del o delle dita ed il prolungato uso del ciuccio. Particolari posture linguali sbagliate che determinano a loro volta disturbi fonatori (la non corretta pronunzia di sillabe).  Alcune posture sbagliate della testa e collo. Tutte queste abitudini di postura muscolare sbagliata, possono condizionare il normale sviluppo dello scheletro facciale e quindi anche il combaciamento dei denti e l’estetica del viso. Intervenire precocemente vuol dire rimettere il bimbo in condizione , una volta intercettata l’abitudine sbagliata, di crescere correttamente.

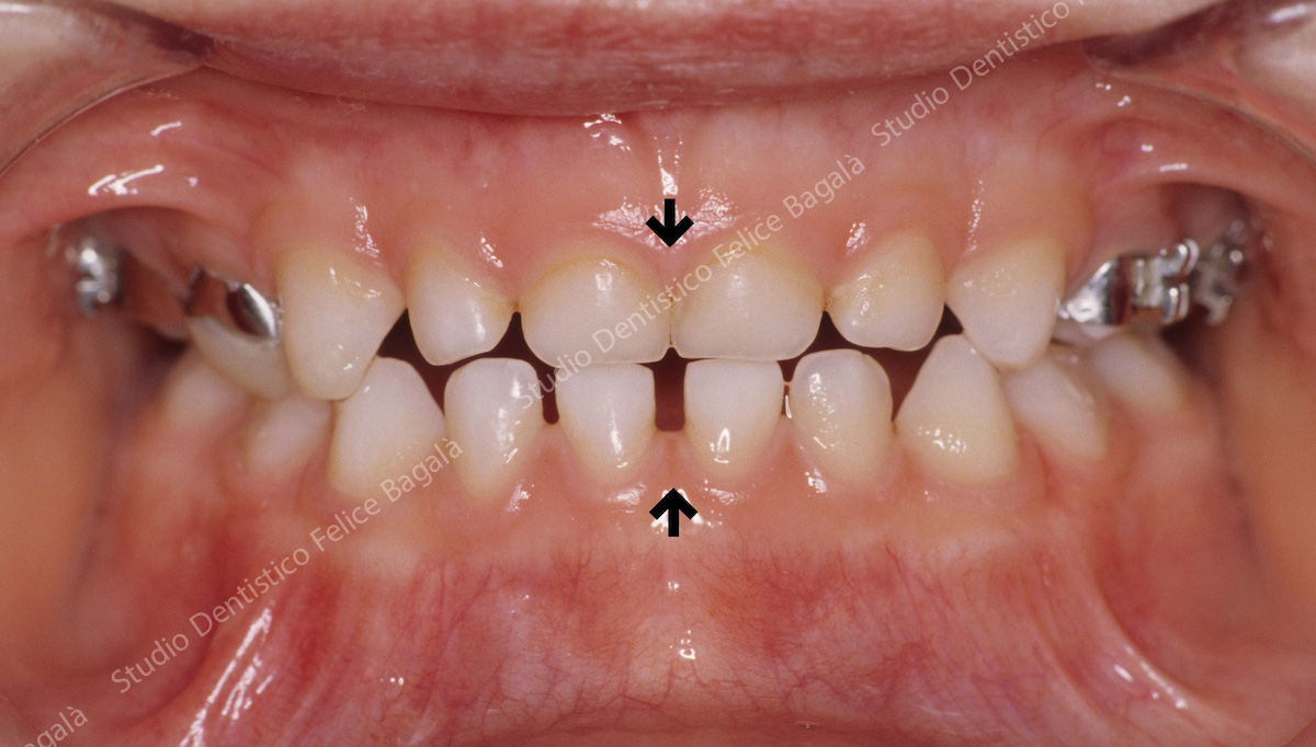
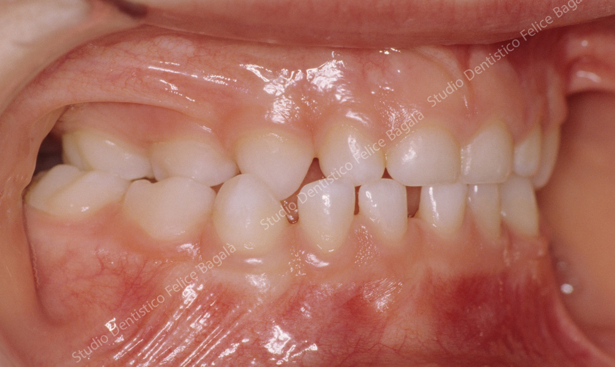
Morso Crociato

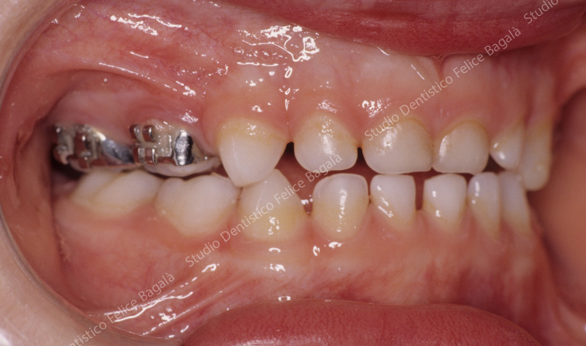
Il caso di Riccardo è una Intercettiva (perché entra in cura che ha 4 anni e mezzo circa) e cioè non appena ci si accorge che il paziente nonostante la giovanissima età, si lascia tranquillamente curare. L’arcata superiore è piccola come diametro (latero laterale), rispetto alla arcata dentaria inferiore. Come già detto bisogna immaginare la bocca come una scatola da scarpe. Se il coperchio della scatola è troppo piccolo tenderà a slittare da un lato o dall’altro. In bocca funziona allo stesso modo, solo che il coperchio è fissato al cranio  e non può muoversi. Si muoverà quasi sempre la parte inferiore cioè la mandibola (la scatola), deviando da un lato. Nel caso di Riccardo la deviazione è a destra , come anche l’incrocio della masticazione e la linea tra i due incisivi centrali inferiori ( vedi frecce nere).Terapia? allargamento “scheletrico della parte superiore (mascellare), e la parte inferiore mandibolare si centra automaticamente (vedi la centratura delle frecce nere). Quindi il caso è finito in 5 mesi massimo ed il bimbo tornato “dritto” prosegue per la sua strada.

Dopo 6 mesi