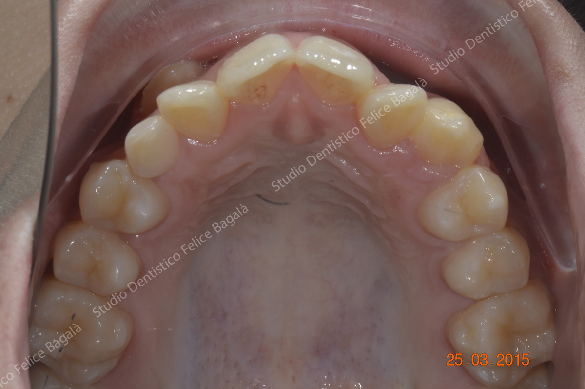
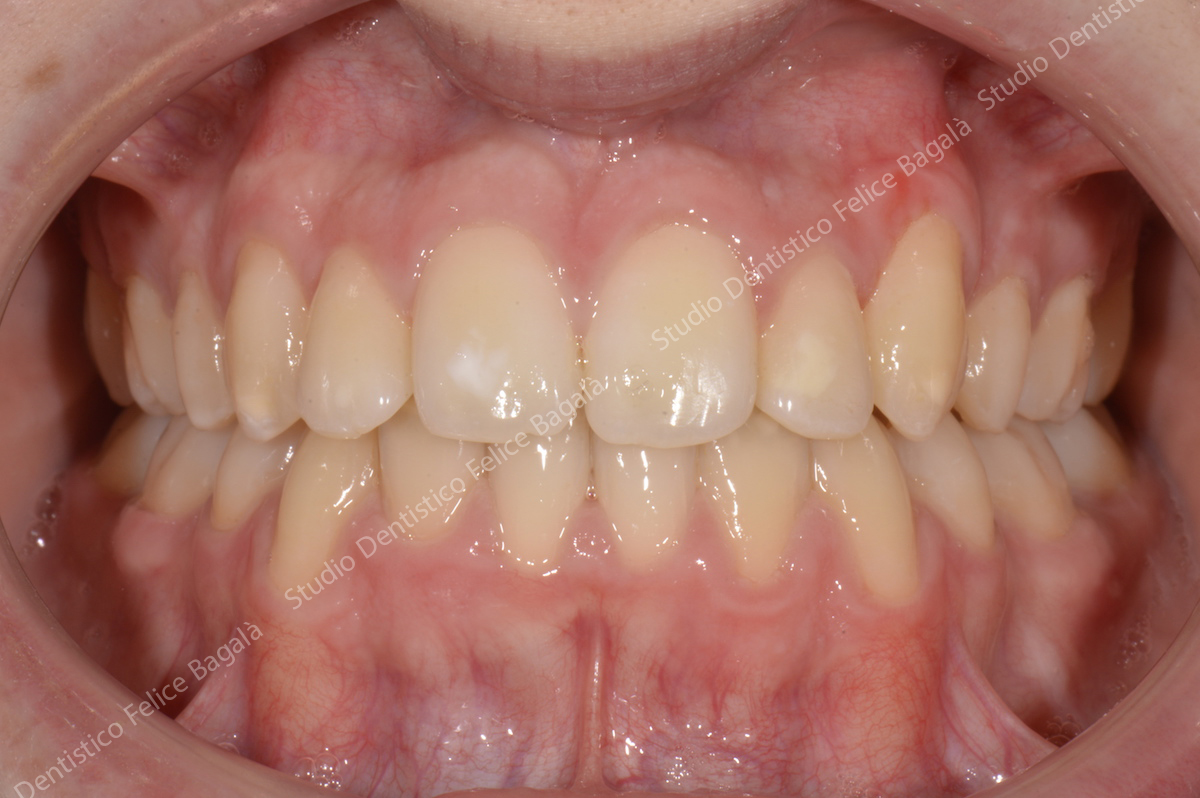
IL CASO DI GABRIELE (ORTODONZIA CLASSICA)
Gabriele è un giovane adolescente giunto nel mio studio dopo 5 anni di trattamenti in 2 studi diversi di colleghi senza alcun risultato. Risolto in circa 22 mesi di ortodonzia classica, sfoggia un sorriso eccellente, visibilmente contento. Dal momento di smontaggio dell'”apparecchio ortodontico” il paziente è libero e verrà in studio periodicamente per controlli di rutine. Tutti i pazienti hanno comunque contenzioni notturne per nulla fastidiose, che ci consentono di mantenere il risultato stabile nel tempo. Grazie a lui e ai suoi genitori che dopo 2 cure inefficaci hanno deciso di crederci ancora.